Lymphoma - 1 : The prognosis of nhl depends on the specific type.

Lymphoma - 1 : The prognosis of nhl depends on the specific type.. Leukemia and lymphoma are both forms of blood cancer, but they affect the body in different ways. The lymphatic system includes the lymph nodes (lymph glands), spleen, thymus gland and bone marrow. The prognosis of nhl depends on the specific type. Lymphoma is a group of blood malignancies that develop from lymphocytes (a type of white blood cell). These are large, cancerous cells found in hodgkin lymphoma tissues, named for the scientists who first identified them.

Lymphoma is cancer that starts in the lymph glands or other organs of the lymphatic system. Those affected may feel tired or be itchy. Lymphoma staging is identifying where the disease is located and the potential areas of your body it may have spread to. We have more information about signs and symptoms of lymphoma. Hodgkin lymphoma (hodgkin disease or hl) is the less common form of lymphoma, affecting about 9,000 adults and children in the united states each year.

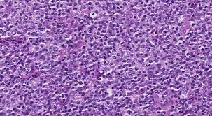
Lymphoma Cfch Centre For Clinical Haematology
Lymphoma Cfch Centre For Clinical Haematology from cfch.com.sg
Signs and symptoms may include enlarged lymph nodes, fever, drenching sweats, unintended weight loss, itching, and constantly feeling tired. Get information about the main types here. Not all such lumps are a sign of lymphoma. We have more information about signs and symptoms of lymphoma. Hodgkin lymphoma (hl), of which there are six types, accounts for around 10% of all lymphoma cases in the united states. Lymphocytes travel through the blood and lymphatic system to defend the body against foreign invaders like bacteria and viruses. It is part of the immune system. Lymphoma is a general term for cancers that start in the lymph system (the tissues and organs that produce, store, and carry white blood cells that fight infections).

Knowing more will help you understand how lymphoma is diagnosed and possible treatment options.

Lymphoma can affect all those areas as well as other organs throughout the body. Lymphoma is a cancer of the lymph (or lymphatic) system. Hodgkin lymphoma (hl) is a type of lymphoma in which cancer originates from a specific type of white blood cells called lymphocytes. Hodgkin lymphoma (hodgkin disease or hl) is the less common form of lymphoma, affecting about 9,000 adults and children in the united states each year. There are two major types of hodgkin lymphoma: Specifically, lymphoma is a cancer that affects lymphocytes, which are a type of white blood cell. Hodgkin lymphoma can develop anywhere in the body where lymphocytes are found. The lymph system is a network of tissue, vessels, and fluid (lymph). The lumps themselves are swollen lymph nodes, and they typically appear in the neck, armpit, or groin. It is normal for lymph nodes to swell as they fill with white blood cells as part … continued Learn about lymphoma, a cancer that starts in the lymph system. Which lymphoma treatments are right for you depends on the type and stage of your disease, your overall health, and your preferences. The name often refers to just the cancerous versions rather than all such tumours.

Lymphoma is a group of blood malignancies that develop from lymphocytes (a type of white blood cell). The most common symptom of lymphoma is the development of lumps under the skin. Lymphoma is a cancer of a part of the immune system called the lymph system. Specifically, lymphoma is a cancer that affects lymphocytes, which are a type of white blood cell. Lymphoma is a broad term for cancer that begins in cells of the lymph system.

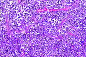
It S Blood Cancer Awareness Month Spotlight On Lymphoma Cancerconnect
It S Blood Cancer Awareness Month Spotlight On Lymphoma Cancerconnect from news.cancerconnect.com
Leukemia and lymphoma are both forms of blood cancer, but they affect the body in different ways. Lymphocytes travel through the blood and lymphatic system to defend the body against foreign invaders like bacteria and viruses. It is normal for lymph nodes to swell as they fill with white blood cells as part … continued Get information about the main types here. Lymphoma is a general term for cancers that start in the lymph system (the tissues and organs that produce, store, and carry white blood cells that fight infections). Explore the links on this page to learn more about lymphoma. The lumps themselves are swollen lymph nodes, and they typically appear in the neck, armpit, or groin. Lymphoma is a group of blood malignancies that develop from lymphocytes (a type of white blood cell).

But it is very rare, accounting for about 2 percent of all lymphoma diagnoses.

Diagnostic testing is used to detect the cancer's stage, which helps the doctor determine an appropriate course of treatment. Lymphoma a group of blood cancers that develop in the lymphatic system. Lymphoma staging is identifying where the disease is located and the potential areas of your body it may have spread to. These cancers change the way blood cells behave and how well they work. Leukemia and lymphoma are both forms of blood cancer, but they affect the body in different ways. Many types of lymphoma exist. But it is very rare, accounting for about 2 percent of all lymphoma diagnoses. There are two main types of lymphoma, which spread and are treated differently: Which lymphoma treatments are right for you depends on the type and stage of your disease, your overall health, and your preferences. The two main kinds of lymphoma are— hodgkin lymphoma, which spreads in an orderly manner from one group of lymph nodes to another. The lymphatic system includes the lymph nodes (lymph glands), spleen, thymus gland and bone marrow. These cells are in the lymph nodes, spleen, thymus, bone marrow, and other parts of the body. Lymphoma is a cancer of the lymph (or lymphatic) system.

Symptoms may include fever, night sweats, and weight loss. Hodgkin lymphoma (hl) is a type of lymphoma in which cancer originates from a specific type of white blood cells called lymphocytes. Hodgkin lymphoma (hodgkin disease or hl) is the less common form of lymphoma, affecting about 9,000 adults and children in the united states each year. But it is very rare, accounting for about 2 percent of all lymphoma diagnoses. Lymphoma can affect all those areas as well as other organs throughout the body.

The 5 Types Of Hodgkin Lymphoma Explained
The 5 Types Of Hodgkin Lymphoma Explained from www.verywellhealth.com
Lymphoma is a group of blood malignancies that develop from lymphocytes (a type of white blood cell). Hodgkin lymphoma can often be cured. It is normal for lymph nodes to swell as they fill with white blood cells as part … continued Specifically, lymphoma is a cancer that affects lymphocytes, which are a type of white blood cell. Lymphomas refers to types of cancer that begin in the lymphatic system (the various lymph glands around the body) when abnormal white blood cells grow. The lymphatic system includes the lymph nodes (lymph glands), spleen, thymus gland and bone marrow. The main difference is that leukemia affects the blood and bone marrow, while lymphomas mainly. Lymphoma can affect all those areas as well as other organs throughout the body.

Hodgkin lymphoma can develop anywhere in the body where lymphocytes are found.

Hodgkin lymphoma can develop anywhere in the body where lymphocytes are found. Those affected may feel tired or be itchy. Diagnostic testing is used to detect the cancer's stage, which helps the doctor determine an appropriate course of treatment. Lymphoma is the most common type of blood cancer. Lymphomas refers to types of cancer that begin in the lymphatic system (the various lymph glands around the body) when abnormal white blood cells grow. Lymphoma is a group of blood malignancies that develop from lymphocytes (a type of white blood cell). This is usually in the neck, armpit or groin. But it most often begins in lymph nodes in the chest, neck or under the arms. It develops in lymphocytes, which are a type of white blood cell. Lymphoma is a general term for cancers that start in the lymph system (the tissues and organs that produce, store, and carry white blood cells that fight infections). These cells are in the lymph nodes, spleen, thymus, bone marrow, and other parts of the body. When you're looking for information about lymphoma, make sure you know which type you want to know about. Symptoms from lymphoma in the chest when lymphoma starts in the thymus or lymph nodes in the chest, it may press on the nearby trachea (windpipe), which can cause coughing, trouble breathing, or a feeling of chest pain or pressure.